At Village Dental Clinic, we welcome our new patients to our Haymarket dental office. Our friendly staff is dedicated to caring for you and your entire family’s oral health and well-being. Our dentist provides a comprehensive new patient exam and consultation to assess your dental health and create a customized treatment plan for you. To understand what to expect from your first visit to our practice, please read through this page. You’ll find all the practical information you need. For more detail, contact us at 02 9281 0007.
Dental Exam
A clinical exam is more commonly referred to as a routine check up. A new patient exam lets your dentist essentially take inventory of the overall health of your mouth and teeth and diagnose any potential problems you may have.
A. The first thing your dentist will check during the exam is your face and neck. Checking visually, your dentist will look for any abnormalities, such as lumps, bumps or swelling.
B. Checking inside your mouth is next on the agenda. During this part of the check up your dentist will be looking for any abnormalities in the soft tissue, such as discolorations or ulcers on your lips, gums, tongue, palate and cheeks. Your dentist will also perform an oral cancer screening and will check your bite and your jaw joint for any problems.
C. Next your dentist will check your gums and jawbone, as they are the foundation for your teeth. Your dentist will check them for any signs of gingivitis, gum disease and bone disease.
D. Checking your teeth comes next. Your dentist will be checking them for cavities and other problems. Finally, your dentist will be sure to look specifically at any areas where you may have symptoms or concerns.
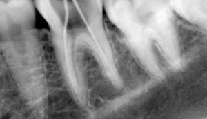
X-rays
In most cases a clinical exam by itself is not sufficient to completely diagnose all potential problems with your mouth. In fact, the majority of problems with your teeth and the jawbone are not visible to the naked eye. That is why x-rays play a key role in allowing a better, and more accurate look at what is really going on inside your mouth and below your teeth and gums. By using x-rays your dentist can check for any bone loss and determine the severity of the gum disease.

In addition to revealing any problems that were not visible during the clinical exam these initial x-rays will also provide your dentist with a benchmark with which to compare against during your future visits.



